Implanty zębów w Warszawie to temat, który zyskuje na popularności wśród osób poszukujących skutecznych rozwiązań dla brakujących zębów. Warto wiedzieć, że implanty to sztuczne korzenie zębów, które są wszczepiane w kość szczęki lub żuchwy, a następnie pokrywane koronami protetycznymi. Proces ich zakupu i wszczepienia jest skomplikowany i wymaga odpowiedniego przygotowania oraz konsultacji ze specjalistą. W Warszawie istnieje wiele klinik stomatologicznych oferujących tę usługę, co daje pacjentom szeroki wybór. Ważne jest, aby przed podjęciem decyzji o wszczepieniu implantu przeprowadzić dokładne badania oraz konsultacje, które pozwolą ocenić stan zdrowia jamy ustnej oraz kości. Lekarze stomatolodzy często zalecają wykonanie zdjęć rentgenowskich, które pomogą w zaplanowaniu zabiegu oraz określeniu ilości dostępnej kości do wszczepienia implantu.
Jakie są zalety i wady implantów zębów w Warszawie

Decydując się na implanty zębów w Warszawie, warto rozważyć zarówno ich zalety, jak i potencjalne wady. Jedną z głównych zalet implantów jest ich trwałość – przy odpowiedniej pielęgnacji mogą one służyć przez wiele lat, a nawet całe życie. Dodatkowo wyglądają i funkcjonują jak naturalne zęby, co znacząco poprawia komfort życia pacjenta. Implanty pomagają również w zachowaniu struktury kości szczęki, co jest istotne dla estetyki twarzy. Z drugiej strony, proces wszczepienia implantu jest inwazyjny i może wiązać się z pewnym dyskomfortem oraz ryzykiem powikłań. Czasami konieczne jest przeprowadzenie dodatkowych zabiegów, takich jak augmentacja kości, co zwiększa całkowity koszt leczenia. Ponadto nie każdy pacjent kwalifikuje się do zabiegu – osoby z chorobami przyzębia czy cukrzycą mogą mieć trudności z gojeniem się ran pooperacyjnych.
Jak wygląda proces zakupu i wszczepienia implantów zębów w Warszawie
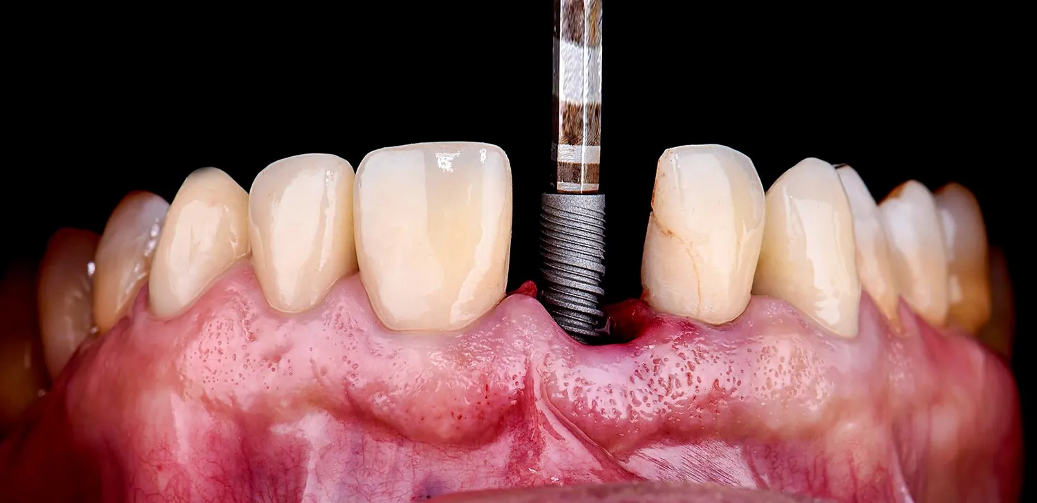
Proces zakupu i wszczepienia implantów zębów w Warszawie składa się z kilku kluczowych etapów. Pierwszym krokiem jest konsultacja ze stomatologiem, który oceni stan zdrowia jamy ustnej pacjenta oraz zaproponuje odpowiedni plan leczenia. W trakcie wizyty lekarz może wykonać zdjęcia rentgenowskie lub tomografię komputerową, aby dokładnie zobaczyć strukturę kości oraz zaplanować miejsce wszczepienia implantu. Po zatwierdzeniu planu leczenia następuje etap przygotowania do zabiegu – pacjent może być zobowiązany do wykonania dodatkowych badań lub zabiegów przygotowawczych. Samo wszczepienie implantu odbywa się zazwyczaj w znieczuleniu miejscowym i trwa od 1 do 2 godzin. Po zabiegu pacjent otrzymuje szczegółowe instrukcje dotyczące pielęgnacji oraz diety na czas rekonwalescencji. Warto pamiętać, że pełne osadzenie implantu w kości może trwać kilka miesięcy, zanim będzie można przystąpić do wykonania korony protetycznej.
Jakie są koszty związane z implantami zębów w Warszawie
Koszty związane z implantami zębów w Warszawie mogą być bardzo różnorodne i zależą od wielu czynników. Przede wszystkim cena implantu obejmuje nie tylko sam materiał wszczepiany do kości, ale także usługi stomatologa oraz dodatkowe procedury medyczne, które mogą być konieczne przed lub po zabiegu. Średni koszt jednego implantu to zazwyczaj kilka tysięcy złotych, jednak ceny mogą sięgać nawet 10 tysięcy złotych lub więcej w przypadku bardziej skomplikowanych przypadków lub renomowanych klinik. Warto również uwzględnić koszty związane z koroną protetyczną oraz ewentualnymi dodatkowymi zabiegami, takimi jak augmentacja kości czy leczenie chorób przyzębia. Niektóre kliniki oferują możliwość rozłożenia płatności na raty lub korzystania z programów lojalnościowych dla pacjentów.
Jakie są najczęstsze pytania dotyczące implantów zębów w Warszawie
W miarę rosnącej popularności implantów zębów w Warszawie, pojawia się wiele pytań, które pacjenci często zadają przed podjęciem decyzji o leczeniu. Jednym z najczęściej zadawanych pytań jest to, jak długo trwa proces gojenia po wszczepieniu implantu. W zależności od indywidualnych predyspozycji pacjenta oraz złożoności zabiegu, czas gojenia może wynosić od kilku tygodni do kilku miesięcy. Kolejnym ważnym pytaniem jest to, czy wszczepienie implantu jest bolesne. Większość pacjentów zgłasza jedynie niewielki dyskomfort, który można złagodzić za pomocą środków przeciwbólowych. Pacjenci często zastanawiają się również nad tym, jakie są przeciwwskazania do wykonania zabiegu. Osoby z chorobami przewlekłymi, takimi jak cukrzyca czy choroby serca, powinny skonsultować się z lekarzem przed podjęciem decyzji o wszczepieniu implantu. Inne pytania dotyczą kosztów oraz możliwości ich finansowania. Wiele klinik oferuje różne opcje płatności oraz promocje, co może ułatwić dostęp do leczenia dla większej liczby pacjentów.
Jakie są alternatywy dla implantów zębów w Warszawie
Choć implanty zębów w Warszawie cieszą się dużą popularnością, istnieją również inne metody leczenia brakujących zębów, które mogą być odpowiednie dla niektórych pacjentów. Jedną z najczęściej stosowanych alternatyw są mosty protetyczne, które polegają na osadzeniu sztucznych zębów na zdrowych zębach sąsiadujących z luką. Mosty mogą być tańszą opcją niż implanty, ale wymagają szlifowania zdrowych zębów, co może być niekorzystne dla ich struktury. Inną możliwością są protezy ruchome, które są stosunkowo tanie i łatwe w użyciu, jednak mogą nie zapewniać takiego komfortu i estetyki jak implanty. Protezy mogą również wymagać częstszego dostosowywania i wymiany. Warto również wspomnieć o technice zwanej „mini-implantami”, które są mniejsze od standardowych implantów i mogą być stosowane w sytuacjach, gdy brakuje kości lub gdy pacjent ma ograniczone możliwości finansowe.
Jak dbać o implanty zębów po ich wszczepieniu w Warszawie
Dbanie o implanty zębów po ich wszczepieniu jest kluczowe dla zapewnienia ich długowieczności oraz zdrowia jamy ustnej. Po pierwsze, niezwykle istotne jest przestrzeganie zasad higieny jamy ustnej. Należy regularnie szczotkować zęby co najmniej dwa razy dziennie oraz używać nici dentystycznej do czyszczenia przestrzeni międzyzębowych. Warto także rozważyć stosowanie płynów do płukania jamy ustnej zawierających składniki antybakteryjne, które pomogą w utrzymaniu zdrowia dziąseł wokół implantu. Pacjenci powinni również unikać twardych pokarmów oraz nawyków takich jak gryzienie paznokci czy otwieranie opakowań zębami, co może prowadzić do uszkodzenia implantu lub korony protetycznej. Regularne wizyty kontrolne u stomatologa są równie ważne – zaleca się odwiedzanie gabinetu przynajmniej raz na pół roku w celu oceny stanu zdrowia jamy ustnej oraz przeprowadzenia profesjonalnego czyszczenia. W przypadku wystąpienia jakichkolwiek problemów czy niepokojących objawów, takich jak ból czy krwawienie dziąseł, należy niezwłocznie skontaktować się ze specjalistą.
Jakie są opinie pacjentów o implantach zębów w Warszawie
Opinie pacjentów na temat implantów zębów w Warszawie są zazwyczaj pozytywne, a wiele osób podkreśla znaczną poprawę jakości życia po przeprowadzeniu tego zabiegu. Pacjenci często chwalą sobie estetykę i funkcjonalność implantów – wiele osób zauważa, że wyglądają one bardzo naturalnie i pozwalają na normalne jedzenie oraz mówienie bez obaw o wypadnięcie sztucznego zęba. Dodatkowo wielu pacjentów zwraca uwagę na to, że po wszczepieniu implantu czują się pewniej w towarzystwie innych ludzi oraz rzadziej odczuwają kompleksy związane z brakującymi zębami. Niemniej jednak niektórzy pacjenci wskazują na pewne niedogodności związane z procesem gojenia oraz kosztami zabiegu. Część osób zauważa także potrzebę regularnych wizyt kontrolnych oraz dbałości o higienę jamy ustnej jako dodatkowe obowiązki wynikające z posiadania implantów.
Jak wybrać odpowiednią klinikę stomatologiczną do wszczepienia implantów w Warszawie
Wybór odpowiedniej kliniki stomatologicznej do wszczepienia implantów w Warszawie jest kluczowy dla sukcesu całego procesu leczenia. Przede wszystkim warto zwrócić uwagę na doświadczenie i kwalifikacje lekarzy pracujących w danej placówki – dobrze jest sprawdzić ich certyfikaty oraz ukończone kursy związane z implantologią. Opinie innych pacjentów mogą być również pomocne – warto poszukać recenzji online lub zapytać znajomych o rekomendacje sprawdzonych klinik. Kolejnym istotnym aspektem jest wyposażenie kliniki – nowoczesny sprzęt oraz technologie mogą znacząco wpłynąć na komfort i bezpieczeństwo zabiegu. Ważne jest także podejście personelu do pacjentów – dobra klinika powinna zapewniać przyjazną atmosferę oraz indywidualne podejście do każdego przypadku. Koszt leczenia również powinien być brany pod uwagę – warto porównywać oferty różnych placówek i upewnić się, że cena odpowiada jakości usług oferowanych przez klinikę.
Jak wygląda rehabilitacja po wszczepieniu implantów w Warszawie
Rehabilitacja po wszczepieniu implantów w Warszawie to istotny etap procesu leczenia, który ma na celu przywrócenie pełnej funkcjonalności jamy ustnej oraz zapewnienie komfortu pacjenta. Po zabiegu lekarz zazwyczaj zaleca odpoczynek przez kilka dni oraz unikanie intensywnego wysiłku fizycznego. W tym czasie ważne jest stosowanie się do zaleceń dotyczących diety – zaleca się spożywanie miękkich pokarmów oraz unikanie gorących napojów przez pierwsze dni po operacji. Pacjenci powinni także regularnie przyjmować leki przeciwbólowe zgodnie z zaleceniami lekarza oraz obserwować miejsce wszczepienia implantu pod kątem ewentualnych objawów zapalnych czy infekcji. Wizyty kontrolne u stomatologa są kluczowe dla monitorowania procesu gojenia – lekarz oceni stan implantu oraz otaczających tkanek miękkich i podejmie decyzję o dalszym postępowaniu. W miarę upływu czasu rehabilitacja może obejmować także ćwiczenia mające na celu poprawę funkcji żucia oraz mowy, szczególnie jeśli pacjent miał wcześniej problemy związane z brakującymi zębami.





