Utrata zębów, niezależnie od przyczyny – czy to wynik choroby, urazu, czy naturalnego procesu starzenia – stanowi wyzwanie estetyczne i funkcjonalne. Na szczęście współczesna stomatologia oferuje rozwiązania, które pozwalają odzyskać pełnię uśmiechu i komfort życia. Jednym z najbardziej zaawansowanych i cenionych przez pacjentów rozwiązań są implanty zębów. Wiele osób zastanawia się, na ile są one w stanie dorównać swoim naturalnym odpowiednikom. Czy implanty zębów faktycznie mogą nam zastąpić prawdziwe zęby, przywracając nie tylko estetykę, ale i funkcjonalność żucia? Odpowiedź na to pytanie wymaga dogłębnego zrozumienia technologii, materiałów i procesu leczenia, a także porównania ich z naturalnymi zębami pod kątem trwałości, odczuć i pielęgnacji.
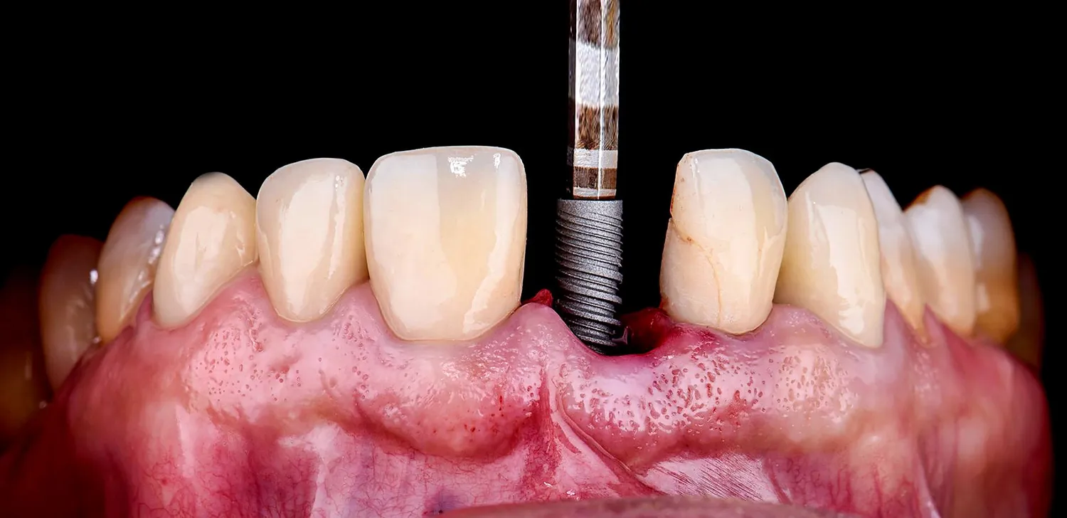
Implant stomatologiczny to niewielka, tytanowa śruba, która jest chirurgicznie umieszczana w kości szczęki lub żuchwy, stanowiąc stabilną podstawę dla odbudowy protetycznej. Tytan, ze względu na swoją biokompatybilność, jest idealnie tolerowany przez organizm, integrując się z tkanką kostną w procesie zwanym osteointegracją. Po całkowitym zrośnięciu się implantu z kością, na jego powierzchni montowany jest łącznik, do którego następnie przykręcana lub cementowana jest korona protetyczna – czyli widoczna część zęba, wykonana z ceramiki lub innych materiałów estetycznych. Cały proces, od wszczepienia implantu po osadzenie korony, wymaga precyzji, doświadczenia lekarza i cierpliwości pacjenta, gdyż proces gojenia może trwać kilka miesięcy. Jednakże, efekt końcowy często przekracza oczekiwania, przywracając pacjentom pewność siebie i możliwość swobodnego jedzenia.
Porównując implanty zębów z naturalnymi zębami, należy wziąć pod uwagę wiele aspektów. Naturalne zęby są częścią naszego organizmu, posiadają własne unerwienie i ukrwienie, co daje nam poczucie dotyku i temperatury podczas spożywania pokarmów. Implanty, będąc konstrukcją obcą, nie posiadają tych cech. Mimo to, dzięki precyzyjnemu dopasowaniu korony protetycznej i stabilności implantu, odczucia podczas gryzienia są bardzo zbliżone do naturalnych. Jedną z kluczowych różnic jest również kwestia higieny i potencjalnych problemów. Naturalne zęby mogą ulec próchnicy, chorobom dziąseł czy złamaniom. Implanty, choć same w sobie nie ulegają próchnicy, wymagają równie starannej higieny, aby zapobiec stanom zapalnym dziąseł i kości wokół nich, które mogą prowadzić do ich utraty. Regularne wizyty kontrolne u stomatologa i profesjonalne zabiegi higienizacyjne są kluczowe dla długoterminowego sukcesu leczenia implantologicznego.
Jakie są zalety stosowania implantów zębów dla naszego zdrowia
Stosowanie implantów zębów przynosi szereg znaczących korzyści, które wykraczają poza samą estetykę uśmiechu. Przede wszystkim, implanty stanowią najbardziej fizjologiczne i stabilne rozwiązanie problemu bezzębia lub braków pojedynczych zębów. W przeciwieństwie do tradycyjnych protez ruchomych, implanty są trwale zakotwiczone w kości, co eliminuje dyskomfort związany z ich przemieszczaniem się podczas jedzenia czy mówienia. Stabilność ta przekłada się bezpośrednio na poprawę funkcji żucia, umożliwiając pacjentom spożywanie szerokiej gamy pokarmów, od twardych warzyw po soczyste owoce, bez obaw i ograniczeń. Jest to kluczowe nie tylko dla komfortu, ale także dla prawidłowego odżywiania i utrzymania ogólnego stanu zdrowia.
Kolejną istotną zaletą implantów jest ochrona kości szczęki lub żuchwy przed zanikiem. Kiedy ząb traci swoje naturalne obciążenie, kość, która go otaczała, zaczyna stopniowo zanikać z braku stymulacji. Ten proces, zwany atrofią kości, może prowadzić do zmian w rysach twarzy, zapadania się policzków i problemów z dopasowaniem protez. Implant stomatologiczny, dzięki swojej strukturze i integracji z kością, pełni rolę sztucznego korzenia, stymulując tkankę kostną i zapobiegając jej utracie. Dzięki temu zachowana zostaje struktura twarzy, a pacjent unika konieczności stosowania rozbudowanych protez, które mogą wymagać dodatkowego podparcia i wiązać się z większym dyskomfortem.
Implanty zębów mają również pozytywny wpływ na zdrowie pozostałych zębów. W przypadku tradycyjnych mostów protetycznych, konieczne jest oszlifowanie zdrowych zębów sąsiadujących z luką, aby stworzyć dla nich podporę. Implanty eliminują tę potrzebę, pozwalając zachować integralność i zdrowie naturalnych zębów. Jest to szczególnie ważne w przypadku pacjentów, którzy mają już pewne braki zębowe i chcą uniknąć dalszego uszkadzania pozostałych, często zdrowych, zębów. Ponadto, dzięki stabilnemu osadzeniu, implanty poprawiają estetykę uśmiechu, przywracając naturalny wygląd i proporcje, co pozytywnie wpływa na samoocenę i komfort psychiczny pacjenta.
Co ważne, implanty są rozwiązaniem długoterminowym, a przy odpowiedniej higienie i regularnych kontrolach stomatologicznych mogą służyć pacjentom przez wiele lat, a nawet całe życie. Jest to inwestycja w zdrowie i jakość życia, która eliminuje potrzebę wielokrotnych wymian protez czy mostów. Odpowiednia pielęgnacja, obejmująca codzienne szczotkowanie, nitkowanie oraz profesjonalne czyszczenie u stomatologa, jest kluczowa dla utrzymania implantów w doskonałym stanie i zapobiegania potencjalnym powikłaniom. Właściwe podejście do higieny jamy ustnej jest fundamentem sukcesu leczenia implantologicznego.
Jakie są potencjalne zagrożenia związane z implantami zębów
Choć implanty zębów są uznawane za bezpieczne i skuteczne rozwiązanie, jak każda procedura medyczna, niosą ze sobą pewne potencjalne ryzyka i komplikacje. Zrozumienie tych zagrożeń jest kluczowe dla świadomego podjęcia decyzji o leczeniu i odpowiedniego przygotowania. Jednym z najczęstszych, choć zazwyczaj przejściowych, problemów są dolegliwości bólowe i obrzęk w miejscu wszczepienia implantu, które są naturalną reakcją organizmu na interwencję chirurgiczną. Mogą im towarzyszyć niewielkie krwawienia, które zazwyczaj ustępują w ciągu kilku dni. Stosowanie zaleconych przez lekarza leków przeciwbólowych i przeciwzapalnych oraz stosowanie zimnych okładów pomaga złagodzić te objawy.
Bardziej poważnym, choć rzadkim, powikłaniem jest infekcja w miejscu wszczepienia implantu. Może ona wynikać z niedostatecznej higieny jamy ustnej pacjenta, obecności infekcji w organizmie lub błędów popełnionych podczas zabiegu. Infekcja może prowadzić do stanu zapalnego dziąseł i kości wokół implantu, a w skrajnych przypadkach nawet do jego utraty. Zapobieganie infekcjom polega na ścisłym przestrzeganiu zaleceń higienicznych przed i po zabiegu, a także na stosowaniu antybiotykoterapii profilaktycznej, jeśli lekarz uzna to za konieczne. W przypadku wystąpienia objawów infekcji, takich jak nasilający się ból, zaczerwienienie, obrzęk, gorączka lub ropna wydzielina, należy natychmiast skontaktować się z lekarzem prowadzącym.
Innym potencjalnym zagrożeniem jest brak osteointegracji, czyli procesu zrastania się implantu z kością. Może to być spowodowane różnymi czynnikami, takimi jak zbyt mała ilość tkanki kostnej, choroby ogólnoustrojowe pacjenta (np. cukrzyca, osteoporoza), palenie tytoniu, przyjmowanie niektórych leków, czy też zbyt wczesne obciążenie implantu. W przypadku braku osteointegracji implant staje się ruchomy i zazwyczaj wymaga usunięcia. Po zagojeniu tkanki kostnej, zazwyczaj możliwe jest ponowne wszczepienie implantu, często z zastosowaniem dodatkowych procedur mających na celu poprawę jego stabilności i integracji.
Należy również wspomnieć o możliwości uszkodzenia struktur anatomicznych w pobliżu miejsca wszczepienia, takich jak nerwy czy naczynia krwionośne. Choć współczesne techniki obrazowania (np. tomografia komputerowa) i precyzja chirurgiczna minimalizują to ryzyko, zawsze istnieje niewielka szansa na wystąpienie drętwienia, mrowienia lub bólu w okolicy zabiegu. Długotrwałe problemy z unerwieniem są jednak rzadkie. Dodatkowo, problemy z implantami mogą pojawić się w wyniku nieprawidłowej higieny, prowadzącej do periimplantitis – stanu zapalnego tkanek otaczających implant, który może skutkować jego utratą. Dlatego tak ważne jest edukowanie pacjentów na temat właściwej pielęgnacji i regularne kontrole.
Jakie są etapy leczenia implantami zębów
Proces leczenia implantologicznego jest wieloetapowy i wymaga precyzyjnego planowania oraz cierpliwości zarówno ze strony pacjenta, jak i zespołu stomatologicznego. Pierwszym i kluczowym etapem jest szczegółowa konsultacja i diagnostyka. Lekarz stomatolog przeprowadza wywiad medyczny, ocenia stan zdrowia jamy ustnej, analizuje ewentualne choroby ogólnoustrojowe, które mogłyby wpłynąć na powodzenie leczenia, oraz bada stan tkanki kostnej i dziąseł. Niezbędne jest wykonanie badań obrazowych, najczęściej tomografii komputerowej (CBCT), która pozwala na dokładne określenie ilości i jakości kości, lokalizację ważnych struktur anatomicznych (jak nerwy czy zatoki szczękowe) oraz zaplanowanie optymalnego miejsca i kąta wszczepienia implantu. Na podstawie zebranych danych lekarz przedstawia pacjentowi indywidualny plan leczenia, omawia możliwe rozwiązania protetyczne, koszty i przewidywany czas terapii.
Kolejnym etapem jest przygotowanie jamy ustnej do zabiegu. Może to obejmować profesjonalne czyszczenie zębów i dziąseł, leczenie istniejących stanów zapalnych, a w niektórych przypadkach także procedury przygotowujące kość, takie jak augmentacja (nadbudowa) kości lub podniesienie dna zatoki szczękowej (sinus lift), jeśli jej wysokość jest niewystarczająca do stabilnego osadzenia implantu. Te dodatkowe zabiegi mają na celu zapewnienie optymalnych warunków do osteointegracji i długoterminowego sukcesu leczenia. Po odpowiednim przygotowaniu pacjent jest gotowy do zabiegu wszczepienia implantu.
Sam zabieg wszczepienia implantu jest procedurą chirurgiczną wykonywaną zazwyczaj w znieczuleniu miejscowym. Lekarz wykonuje niewielkie nacięcie w dziąśle, odsłania kość, a następnie za pomocą specjalistycznych wierteł przygotowuje łożysko dla implantu. Implant jest następnie precyzyjnie wkręcany w kość. Po wszczepieniu, miejsce to jest zabezpieczane, a dziąsło zaszywane. W niektórych przypadkach, zwłaszcza gdy implant jest stabilny pierwotnie, lekarz może zdecydować o natychmiastowym umieszczeniu na nim tymczasowej korony protetycznej, pozwalającej pacjentowi na zachowanie funkcji estetycznej i częściowej funkcji żucia. W większości przypadków jednak, implant pozostaje przykryty dziąsłem i goi się przez okres od kilku tygodni do kilku miesięcy.
Okres gojenia, zwany osteointegracją, jest kluczowy dla trwałości implantu. W tym czasie kość stopniowo wrasta w powierzchnię implantu, tworząc z nim mocne i stabilne połączenie. Po zakończeniu osteointegracji następuje etap odsłonięcia implantu i zamocowania na nim śruby gojącej, która kształtuje dziąsło wokół przyszłej korony. Po kilku tygodniach, śruba gojąca jest usuwana, a na jej miejsce przykręcany jest łącznik protetyczny. Na łączniku tym, na podstawie indywidualnego wycisku, wykonana zostaje ostateczna korona protetyczna, która jest następnie cementowana lub przykręcana do implantu. Ostatnim etapem jest kontrola zgryzu i przekazanie pacjentowi zaleceń dotyczących higieny i pielęgnacji nowego zęba.
Jakie są możliwości pielęgnacji implantów zębów
Pielęgnacja implantów zębów jest absolutnie kluczowa dla ich długoterminowego sukcesu i utrzymania zdrowia jamy ustnej. Choć implanty, wykonane z tytanu, nie są podatne na próchnicę jak naturalne zęby, tkanki miękkie je otaczające – dziąsła i kość – są narażone na podobne problemy jak w przypadku zębów własnych. Zaniedbania w higienie mogą prowadzić do stanów zapalnych dziąseł (gingivitis), które nieleczone mogą przekształcić się w zapalenie przyzębia wokół implantu (periimplantitis). Jest to poważne schorzenie, które może prowadzić do utraty kości stabilizującej implant, a w konsekwencji do jego wypadnięcia. Dlatego codzienna, staranna higiena jest absolutną podstawą.
Podstawą codziennej pielęgnacji jest dokładne szczotkowanie zębów co najmniej dwa razy dziennie, rano i wieczorem. Należy używać miękkiej szczoteczki do zębów (manualnej lub elektrycznej) oraz pasty do zębów z fluorem. Szczególną uwagę należy poświęcić obszarom wokół implantu i korony protetycznej, usuwając resztki pokarmów i płytkę bakteryjną. Warto rozważyć stosowanie specjalistycznych szczoteczek do implantów, które posiadają mniejsze główki i specjalnie wyprofilowane włosie, ułatwiające dotarcie do trudno dostępnych miejsc. Dodatkowo, dla pełnej higieny, niezbędne jest codzienne nitkowanie lub używanie specjalnych nici dentystycznych przeznaczonych do czyszczenia przestrzeni międzyzębowych i wokół implantu.
W celu zapewnienia kompleksowej higieny, zaleca się również stosowanie irygatora stomatologicznego. Urządzenie to, wykorzystując strumień wody pod ciśnieniem, skutecznie usuwa resztki pokarmowe i bakterie z trudno dostępnych miejsc, takich jak przestrzenie międzyzębowe, okolice przydziąbne oraz obszary pod mostami czy koronami protetycznymi. Strumień wody może również masować dziąsła, poprawiając ich ukrwienie i zdrowie. W przypadku implantów, irygator jest szczególnie pomocny w utrzymaniu czystości wokół wszczepu i zapobieganiu gromadzeniu się bakterii, które mogą prowadzić do stanów zapalnych.
Oprócz codziennej higieny domowej, kluczowe są regularne wizyty kontrolne u stomatologa i profesjonalne zabiegi higienizacyjne. Zaleca się, aby pacjenci z implantami odwiedzali gabinet stomatologiczny co najmniej dwa razy w roku, a w niektórych przypadkach nawet częściej, w zależności od indywidualnych potrzeb i zaleceń lekarza. Podczas wizyty kontrolnej lekarz ocenia stan implantów, tkanek otaczających, sprawdza poprawność zgryzu i higieny. Profesjonalne czyszczenie, wykonywane przez higienistkę stomatologiczną, obejmuje usunięcie kamienia nazębnego, osadów oraz polerowanie powierzchni implantów i koron, co jest niemożliwe do wykonania w warunkach domowych. W razie potrzeby lekarz może zalecić stosowanie płynów do płukania jamy ustnej o działaniu antybakteryjnym, jednak powinny być one używane z umiarem i zgodnie z zaleceniami, aby nie zaburzyć naturalnej flory bakteryjnej jamy ustnej.
Jakie są ceny implantów zębów i od czego zależą
Cena implantów zębów jest zmienna i zależy od wielu czynników, co sprawia, że trudno jest podać jedną, uniwersalną kwotę. Jest to inwestycja, która może wydawać się znacząca na pierwszy rzut oka, jednak biorąc pod uwagę długoterminowe korzyści, trwałość i jakość życia, jaką przywraca, często okazuje się opłacalna. Podstawowym elementem wpływającym na koszt jest sam implant stomatologiczny. Na rynku dostępne są implanty różnych producentów, wykonane z wysokiej jakości materiałów, takich jak tytan klasy medycznej. Ceny mogą się różnić w zależności od renomy marki, technologii produkcji oraz zastosowanych rozwiązań konstrukcyjnych. Implanty renomowanych firm, znane ze swojej trwałości i biokompatybilności, zazwyczaj wiążą się z wyższymi kosztami początkowymi.
Kolejnym istotnym składnikiem kosztu jest procedura chirurgiczna wszczepienia implantu. Cena ta obejmuje nie tylko sam zabieg, ale także diagnostykę przedoperacyjną, czyli konsultację, wykonanie badań obrazowych (np. tomografii komputerowej), materiały stomatologiczne użyte podczas zabiegu, znieczulenie oraz opiekę pooperacyjną. W przypadku konieczności wykonania dodatkowych procedur, takich jak regeneracja kości (augmentacja) czy podniesienie dna zatoki szczękowej (sinus lift), koszt leczenia znacząco wzrasta. Te zabiegi są niezbędne w sytuacjach, gdy ilość lub jakość kości jest niewystarczająca do stabilnego osadzenia implantu, a ich cena zależy od złożoności procedury i użytych materiałów.
Trzecim kluczowym elementem wpływającym na całkowity koszt jest odbudowa protetyczna, czyli wykonanie i osadzenie korony protetycznej na implancie. Cena korony zależy od materiału, z jakiego jest wykonana. Najczęściej stosowane są korony pełnoceramiczne (np. cyrkonowe), które charakteryzują się doskonałą estetyką, trwałością i biokompatybilnością, ale są jednocześnie droższe. Tańszym rozwiązaniem mogą być korony metalowo-ceramiczne, jednak ich estetyka może być nieco gorsza, a metal może być widoczny przy linii dziąseł. Koszt obejmuje również pracę lekarza protetyka, wykonanie wycisków, projektowanie i wykonanie korony w laboratorium protetycznym oraz jej ostateczne zamocowanie na implancie.
Warto również wspomnieć o innych czynnikach, które mogą wpływać na cenę leczenia. Lokalizacja gabinetu stomatologicznego, doświadczenie i renoma lekarza chirurga i protetyka, a także standard wyposażenia kliniki mogą mieć znaczenie. Niektóre kliniki oferują pakiety, które obejmują cały proces leczenia implantologicznego, co może być bardziej opłacalne niż rozliczanie poszczególnych etapów osobno. Zawsze warto poprosić o szczegółowy kosztorys leczenia, który powinien zawierać wszystkie składowe ceny, aby uniknąć nieporozumień. Niektóre gabinety oferują również możliwość płatności ratalnych, co może ułatwić pacjentom sfinansowanie tego typu leczenia.
Implanty zębów czy mogą nam zastąpić prawdziwe zęby w kontekście odczuć
Jednym z najczęściej zadawanych pytań przez pacjentów rozważających leczenie implantologiczne jest to, czy implanty zębów mogą nam zastąpić prawdziwe zęby pod względem odczuć. Naturalne zęby posiadają skomplikowany system unerwienia i ukrwienia, który odpowiada za odbiór bodźców takich jak dotyk, nacisk, temperatura czy ból. To dzięki niemu jesteśmy w stanie precyzyjnie ocenić siłę nacisku podczas gryzienia, rozpoznać konsystencję pokarmu czy poczuć, czy coś jest gorące lub zimne. Implant, będący konstrukcją z tytanu, nie posiada tych naturalnych struktur. Po wszczepieniu i pełnej osteointegracji, implant zrasta się z kością, stając się jej integralną częścią, jednak nie jest unerwiony.
Mimo braku bezpośredniego unerwienia, pacjenci zazwyczaj zgłaszają bardzo wysoki poziom satysfakcji z odczuć podczas użytkowania implantów. Dzieje się tak za sprawą kilku czynników. Po pierwsze, stabilność implantu, który jest trwale osadzony w kości, przekłada się na bardzo pewne i stabilne przenoszenie sił żucia. Kiedy gryziemy, nacisk jest równomiernie rozłożony na kość, co daje wrażenie zbliżone do tego, jakbyśmy gryźli naturalnym zębem. Brak ruchomości implantu eliminuje dyskomfort i niepewność, które mogą towarzyszyć tradycyjnym protezom ruchomym.
Po drugie, korona protetyczna wykonana z nowoczesnych materiałów, takich jak ceramika czy cyrkon, doskonale imituje wygląd i właściwości naturalnego szkliwa. Choć nie odczuwamy temperatury bezpośrednio przez koronę, jej powierzchnia i kształt są tak zaprojektowane, aby zapewnić optymalne odczucia podczas kontaktu z językiem i śliną. Precyzyjne dopasowanie korony do pozostałych zębów oraz do zgryzu pacjenta sprawia, że odczucie jest bardzo naturalne, a jedzenie staje się przyjemnością, a nie wyzwaniem. Pacjenci często podkreślają, że po okresie adaptacji zapominają, że mają w ustach coś innego niż własne zęby.
Należy jednak pamiętać, że odczuwanie bólu w przypadku implantów jest inne niż w przypadku naturalnych zębów. Ból związany z implantem zazwyczaj wynika z zapalenia tkanek otaczających lub innych powikłań, a nie z samego implantu. W przypadku naturalnych zębów, ból jest sygnałem ostrzegawczym o problemach z miazgą zębową czy nerwami. W przypadku implantów, ból może być symptomem problemów z dziąsłami lub kością, które wymagają pilnej interwencji stomatologicznej. Regularne kontrole stomatologiczne są zatem niezbędne, aby wcześnie wykrywać i leczyć ewentualne nieprawidłowości, zanim przerodzą się w poważniejsze problemy.





